تجميل الأسنان بالفينير | مركز البرازي الطبي

ابتسامة ساحرة تبدأ مع قشور الفينير احصل على ابتسامة مثالية وبيضاء ناصعة من أول جلسة مع أحدث تقنيات الفينير (Veneers) في مركزنا الطبي – خبرة تمتد لأكثر من 41 عامًا في تجميل الأسنان.

  • Google Rating 4.6
  • based on 492 reviews

لماذا مركز البرازي لتجميل الأسنان بالفينير؟

أكثر من 41 سنة خبرة في تجميل الأسنان.

فريق طبي متخصص في تجميل الأسنان بالقشور التجميلية.

استخدام أجود أنواع الفينير (البورسلان واللومينير).

نتائج طبيعية ومظهر مثالي يدوم لسنوات.

تصميم الابتسامة رقميًا قبل بدء الإجراء (Smile Design).

إجراء غير مؤلم وسريع – ابتسامتك خلال جلستين فقط.

خطة دفع مرنة مع خيارات تقسيط متعددة (Tabby – Tamara – Tooth Pay).

ضمان على التركيبات ضمن شروط المركز.

مركز البرازي الطبي

ما هو الفينير؟

الفينير هو قشرة رقيقة جدًا من البورسلان أو مواد تجميلية عالية الجودة، تُثبت على السطح الأمامي للأسنان لتحسين الشكل واللون والطول.
يُعد من الحلول المثالية للحصول على ابتسامة هوليوودية خلال وقت قصير وبشكل آمن.

الحالات التي يعالجها الفينير

تصبغات الأسنان العميقة التي لا تزول بالتبييض.

الأسنان المتشققة أو المتكسرة.

فراغات بين الأسنان (فراغات بسيطة).

عدم تجانس شكل أو طول الأسنان.

تحسين الابتسامة العامة.

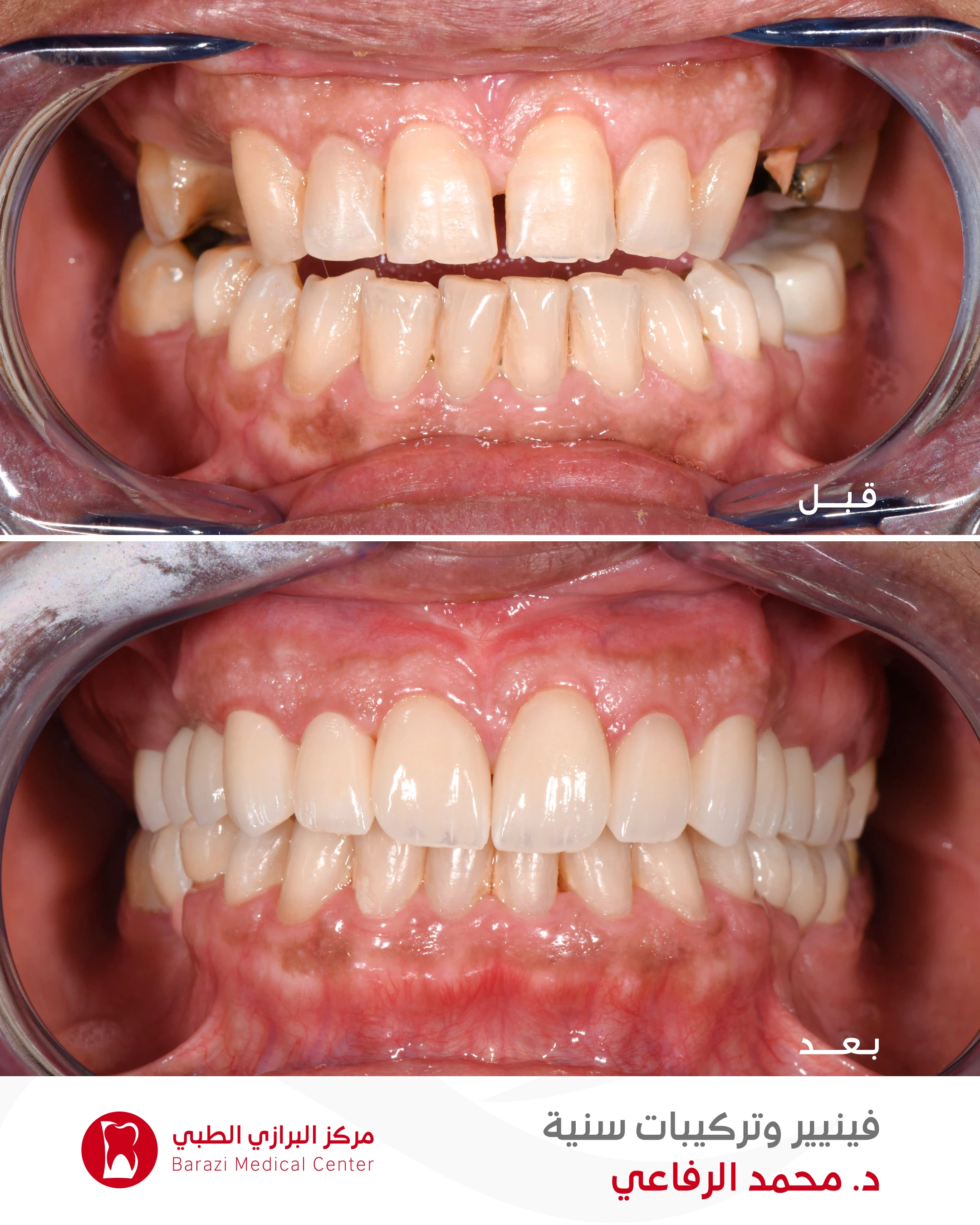
حالات قبل وبعد العلاج

شاهد النتائج المذهلة لمرضانا من خلال مقارنة الصور قبل وبعد العلاج

قبل العلاج
قبل العلاج
قبل العلاج
قبل العلاج
قبل العلاج
قبل العلاج

رحلتك مع الفينير في مركز البرازي

كيف تبدأ رحلتك معنا؟

  • ستشارة أولية وفحص شامل (يشمل الصور الرقمية وتصميم الابتسامة).
  • خطة علاج مخصصة توضح عدد الأسنان، التكلفة، وخيارات التقسيط.
  • تحضير الأسنان وأخذ القياسات الرقمية باستخدام أحدث الأجهزة.
  • تجربة الابتسامة المبدئية (Smile Trial) لمعاينة الشكل النهائي قبل التثبيت.
  • تركيب الفينير النهائي المصنوع بأعلى جودة لضمان مظهر طبيعي ومتين.
  • متابعة دورية ونصائح للعناية بالفينير لضمان أفضل النتائج.

ماذا ستحصل عليه؟

  • استشارة مجانية مع تقييم شامل.
  • تصميم رقمي للابتسامة (Digital Smile Design).
  • خطة علاج مكتوبة وتفصيلية.
  • خيارات دفع وتقسيط مريحة.
  • تعليمات ونصائح للعناية بعد التركيب.
  • ضمان على التركيبات ضمن شروط المركز.

أنواع الفينير المتوفّرة لدينا

الفينير البورسلان (Porcelain Veneers)

قشرة خزفية عالية الجودة توفر مظهرًا طبيعيًا ومتينًا يدوم طويلاً.

اللومينير (Lumineers)

نوع فائق الرقة لا يحتاج إلى برد الأسنان في أغلب الحالات، ويمنحك ابتسامة جميلة دون ألم.

الفينير المركب (Composite Veneers)

يُصنّع مباشرة في العيادة، سريع التركيب وأقل تكلفة، لكنه يدوم لفترة أقصر.

فريقنا الطبي المتخصص في تجميل الأسنان

قم بمقابلة فريقنا الطبي

د. أحمد حجازي

د. أحمد حجازي

طب أسنان عام وتجميل الأسنان
خبرة 20 سنة

د. سميحة رضوان الحاج يونس

د. سميحة رضوان الحاج يونس

أخصائية تقويم الأسنان و الفكين
خبرة 10 سنوات

د. شريف جنيد

د. شريف جنيد

أخصائي تعويضات الأسنان و الزراعة
خبرة 14 سنة

د. طارق السيد سليمان

د. طارق محمد طالب السيد سليمان

طب أسنان عام مع امتياز في زراعة الأسنان
12 سنة خبرة

د. أفراح أمين قادري

د. أفراح أمين قادري

طب أسنان عام وتجميل الأسنان
14 سنه خبرة

د. أحمد نموره

د. أحمد عبدالحميد نموره

طب وقاية وعلاج أسنان الأطفال
6 سنوات خبرة

د. محمد الرفاعي

د. محمد الرفاعي

طب أسنان عام و تجميل الأسنان
25 سنة خبرة

د. حسام يوسف قطيش

د. حسام يوسف قطيش

طب أسنان عام وتجميل أسنان
خبرة 11 سنة

د. ديڤا

د. ديڤا

طب أسنان عام وتجميل الأسنان خبرة
خبرة 5 سنوات

د. صهيب الحسين

د. صهيب الحسين

أخصائيي جراحة الفم وزراعة الأسنان خبرة
خبرة14 سنة

د. فايز الطيان

د. فايز الطيان

أخصائي علاج و تجميل الأسنان
16 سنة خبرة

د. الان ابراهيم

د. الان ابراهيم

طبيب أسنان عام وتجميل الأسنان
خبرة 11 سنة

أسئلة شائعة عن الفينير

لا، يتم تحت تخدير موضعي بسيط أو حتى بدونه في حالات اللومينير، ويُعد من الإجراءات المريحة والسريعة.

قد يستمر من 10 إلى 15 سنة أو أكثر مع العناية الجيدة.

في حال تم برد الأسنان، لا يمكن التراجع عنه. أما في اللومينير، يمكن إزالته بسهولة.

يُحدَّد ذلك بعد التقييم، وهو مثالي لمعظم الأشخاص الذين يتمتعون بلثة وأسنان صحية.

التبييض يُحسّن اللون فقط، بينما الفينير يُحسّن الشكل واللون والطول والتناسق.

آراء العملاء

ماذا يقول عملاؤنا

نحن ملتزمون بتقديم أفضل الخدمات الطبية مع الحفاظ على أعلى معايير الجودة

صورة آراء العملاء

4.6/5

تقييم عملائنا بعد تجربة تجميل الأسنان بالفينير في مركزنا

  • للخدمات المتميزة

خدماتنا تشمل

تصميم الابتسامة

قشور فينير وبورسلان

لومينير بدون برد

علاج تصبغات وتشققات

تعديل شكل الأسنان

مركز البرازي الطبي

حلول الدفع

حلول التقسيط

نوفر لك خيارات دفع مرنة ومريحة لجميع خدماتنا الطبية

شركات التأمين

ضمان وثقة

نقبل شركات التأمين ثقة و ضمان

تواصل معنا

احجز استشارة مجانية

من السبت إلى الخميس من 9:00 صباحا إلى 9:00 مساءا

الجمعة من 9:00 صباحا إلى 5:00 مساءا

ابتسامتك تبدأ من هنا – لا تنتظر!

احصل على العرض الخاص بقشور الفينير الآن وابدأ رحلة ابتسامتك الجديدة مع مركز البرازي الطبي.